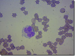
I monociti sono leucociti mononucleati con dimensione leggermente maggiore rispetto ai granulociti neutrofili; il nucleo varia di forma (rotondo, ovale, a fagiolo) e appare bi o multilobulato con cromatina reticolare o dispersa. Il citoplasma è piuttosto abbondante, con margini irregolari, talvolta addirittura estroflesso, di colore blu-grigio in cui si riconoscono fini granulazioni porpora, meglio visibili nel cane; ha inoltre un caratteristico aspetto vacuolizzato dovuto per lo più ad artefatti causati dall'allestimento dello striscio ematico, ma che tende ad essere più marcato se nel sangue queste cellule erano in attività (fagocitosi).
I monociti circolanti altro non sono che “precursori” dei macrofagi tissutali, vere e proprie cellule “spazzino”. Essi rimangono nel sangue per un tempo molto limitato (8 ore nel gatto) poiché la loro sede finale sono appunto i tessuti: la percentuale di questi leucociti in circolo, pertanto, è normalmente molto bassa. Come tutte le cellule precedentemente trattate, la produzione dei monociti avviene nel midollo osseo, ma richiede un tempo inferiore rispetto a quella dei granulociti; inoltre il comparto di riserva midollare per tale classe risulta piuttosto ridotto. I monociti, di fatto, sono cellule che non hanno raggiunto lo stadio finale di maturazione, cosa che avverrà soltanto all'arrivo nei tessuti dove, come sopra anticipato, si trasformano in macrofagi e acquisiscono una elevata longevità. A questo processo è associato un aumento da cinque a dieci volte delle dimensioni cellulari, del numero di granuli citoplasmatici (lisosomi), delle dimensioni e del numero di mitocondri e, ultimo ma non meno importante, all'aumento della capacità fagocitante.

La produzione di monociti e la loro maturazione a macrofagi viene stimolata dal cosiddetto M-CSF (macrophage colony-stimulating factor), attenzione però: nonostante la maggior parte dei macrofagi abbia origine dai monociti del sangue, durante i processi infiammatori i fattori di accrescimento tissutali stimolano la produzione di macrofagi anche direttamente in loco. Questo ci introduce alla funzione svolta da queste 2 classi di cellule che è fondamentalmente: difensiva. Insieme ai neutrofili e ai linfociti NK, i macrofagi rappresentano la prima linea di difesa messa in atto dall'organismo in presenza di qualsiasi elemento perturbante: rappresentano quello che si definisce sistema immunitario innato.
Essi sono in grado di “fagocitare” ovvero “mangiare” e neutralizzare sostanze, detriti cellulari e non, microrganismi e quant'altro, in sostanza agiscono da veri e propri “spazzini”. Esiste un “sistema fagocitario” a tutti gli effetti all'interno dell'organismo che è costituito da macrofagi “fissi” (cellule di Kupffer nel fegato, fagociti specifici della milza e del midollo osseo), cellule fagocitarie mobili (monociti, macrofagi peritoneali, pleurici e alveolari) e da cellule giganti multinucleate che possono formarsi in caso di infiammazione cronica per fusione di più fagociti mononucleati.
Rispetto ai neutrofili, i macrofagi si muovono più lentamente e sono meno efficaci nell'uccisione dei batteri, ma risultano decisamente più attivi in corso di infezioni fungine o virali. Essi sono persino in grado di “rigenerare” materiale utile (lisosomi) per la “neutralizzazione” dei microorganismi e ciò gli conferisce un'elevata resistenza durante le infezioni, prolungando l'azione difensiva.
Da “spazzini” qual sono, inoltre, ripuliscono l'organismi da tessuti morti (necrotizzati), globuli rossi vecchi o danneggiati, immagazzinandone il ferro che pertanto non soltanto non viene perduto, ma sarà riutilizzato durante i processi di guarigione delle ferite. E ancora possono: processare determinati antigeni ed eliminare alcune cellule tumorali precedentemente sensibilizzate dai linfociti T.
Articolo a cura della Clinica Veterinaria Borgarello
Lascia un commento per dire la tua, per chiedere informazioni usa la pagina Contatti.
Lascia un commento per dire la tua, per chiedere informazioni usa la pagina Contatti.
Nessun commento:
Posta un commento